Gesundheit
 |
 |
 |
|
Zwergschnauzer sind grundsätzlich eine robuste und gesunde Hunderasse, aber wie bei jedem anderen Lebenwesen, Kann es auch bei dieser Rasse zu Gesundheitsproblemen kommen. Für einen Züchter ist es daher wichtig, sich mit diesem Thema zu beschäftigen und so weit wie möglich Vorsorge zu tragen, dass der Nachwuchs keine versteckten Gesundheitsprobleme oder Erbkrankheiten in sich trägt.
Uns ist dieses Thema extrem wichtig und wir haben daher unsere Hunde schon von Beginn an auf alle bekannten, möglichen Erkrankungen untersucht und die verfügbaren DNA Test gemacht. So können wir bereits auf Erfahrungen über mehrere Generationen zurückgreifen. Alle Untersuchungen können auf den Seiten unser Hunden und unserer Würfe gefunden werden.
Nachfolgend werden die wichtigsten Erkrankungen beschrieben und erklärt.
Hier die derzeit optimale Untersuchungskombi: »
TESTS
Hier die aktuellen Untersuchungen unserer Hunde: »
UNTERSUCHUNGEN
|
 |
 |
 |
|
|
|
Klinische Untersuchungen
»
Patella Luxation
»
Mitralklappeneninsuffizienz
»
Augenkrankheiten
Genetische Untersuchungen
»
Progressive Retinaatrophie (PRA-1)
»
Myotonia Gongenita (MC)
»
Mycobacterium Avium Complex (MAC)
»
Spondylocostal Dysostosis (SCD)
»
Malignant Hyperthermia (MH)
»
Willebrand Disease Typ-1 (vWD 1)
»
Faktor VII Defizienz (FVII)
»
Hyperuricosuria (HUU)
»
Charcot-Marie-Tooth Neuropathy (CMT)
»
Persistant Mullerian Duct Syndrome (PMDS)
»
Canine Degenerative Myelopathy (DM) Exon2
»
Chondrodysplasie und Dystrophie (IVDD)
|
 |
 |
 |
|
PATELLA LUXATION
|
|
Die temporäre Ausrenkung der Kniescheibe stellt bei vielen kleinen Hunderassen einen häufigen Befund dar. Die Symptome sind meist nicht sehr schwerwiegend, können sich jedoch im Laufe der Zeit verschlimmern. Die Erkrankung wird in vier verschiedene Schweregrade eingeteilt. Während eine gelegentliche Luxation der Kniescheibe ohne schwere Symptome nicht unbedingt eine Operation erfordert, ist in gewissen Fällen eine chirurgische Vorgehensweise empfehlenswert. Meist fällt dem Besitzer eine gelegentliche Lahmheit (zeitweises Laufen auf 3 Beinen) auf. Nur bei einer traumatischen Patellaluxation (eher bei großen Hunden) ist die Lahmheit und der Schmerz bei Manipulation hochgradig. Manchmal stellt die Diagnose auch einen Zufallsbefund dar.
Grad I: Die Kniescheibe ist in ihrer normalen Position, kann aber durch Manipulation bei voller Kniestreckung aus dem Sulcus gedrückt werden und springt ohne Unterstützung wieder in ihre normale Position zurück. Klinische Symptome sind selten.
Grad II: Die Patella luxiert bei gestrecktem Knie spontan oder kann aus ihrer normalen Position gedrückt werden und bleibt dann in dieser Position. Dies verursacht typische intermittierende Lahmheiten. Sie kehrt nach einiger Zeit selbst oder durch Manipulation des Kniegelenks wieder in ihre ursprüngliche Position zurück. Es sind milde Gliedmassenfehlstellungen, wie Innenrotation der Tibia zu erkennen. Wenn die Patella luxiert ist wird der Fuß gestreckt zur Unterscheidung von Grad II und Grad III.
Grad III: Die Patella ist ständig luxiert (stationär), kann aber manuell in die normale Position gedrückt werden. Besteht die Luxation einseitig, wird der betroffene Fuß ständig entlastet. Sind beide Seiten betroffen, fällt die Lahmheit nicht mehr so deutlich auf, jedoch sind die Schritte eher kurz und die Knie gebeugt. Es ist eine deutliche Innenrotation der Tibia zu erkennen. Ein schwach ausgebildeter, flacher Rollkamm ist oft spürbar.
Grad IV: Die Patella ist dauernd luxiert und auch manuell nicht mehr in die Ursprungsposition drückbar. Das Gangbild ist sehr steif. Die Tibia ist deutlich nach innen rotiert und der Rollkamm oft flach.

Die Patella wird von AKVE lizenzierten Tierärzten untersucht
|
 |
 |
 |
|
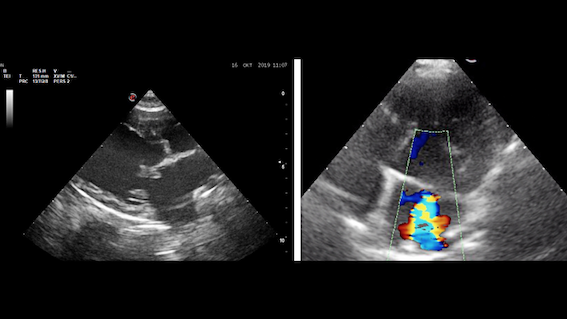
MITRALKLAPPENINSUFFIZIENZ
|
|
Die Mitralklappenendokardiose ist die häufigste erworbene Herzerkrankung beim Hund. Über 75 % der Hunde im Alter von über 13 Jahren leiden an einer mehr oder weniger ausgeprägten Form dieser Erkrankung. Es handelt sich bei der Mitralklappenendokardiose um eine Klappenerkrankung. Dabei kommt es dazu, dass sich die Herzklappen zwischen linker Vorkammer und linker Hauptkammer verdicken. Diese können infolge nicht mehr richtig schließen. Die Klappe wird undicht. Das Herz kann sich im Verlauf der Erkrankung vergrößern und es kann unter Umständen zu Symptomen wie Husten, Atemnot oder Ohnmachtsanfällen kommen. Die Erkrankung verläuft fortschreitend, allerdings ist die Geschwindigkeit des Fortschreitens sowie der Ausgang der Erkrankung individuell sehr unterschiedlich, sodass nicht jeder Hund mit einer Mitralendokardiose Symptome entwickelt oder gar daran stirbt (s. auch „Was passiert im Verlauf der Erkrankung – Schweregrade Stadien der Mitralendokardiose).

Hunde in einem frühen bis mittelgradigen Stadium zeigen keine Symptome. Mittels verschiedener Regelmechanismen kann der Körper die Erkrankung zumeist über einen langen Zeitraum kompensieren. Ab einem bestimmten Zeitpunkt schafft der Körper dies jedoch nicht mehr und es kommt zur Dekompensation. Ab dem Zeitpunkt der Dekompensation werden klinische Symptome für den Besitzer offensichtlich. Zu den häufigsten Symptomen zählen: Husten, schnelle Atmung oder Atemnot
Mitralklappendokardiose wird mittels Ultraschall bei einem Kardiologen untersucht |
 |
 |
 |
|
AUGENKRANKHEITEN
|
|
Membrana Pupillaris Persistens (MPP)
Die Persistierende Pupillarmembran, lateinisch Membrana pupillaris persistens, ist eine häufige angeborene Erkrankung mit Fortbestehen einer Membran aus der embryonalen Entwicklung an der Pupille. Dabei bleiben nach der Geburt Reste der fetalen Pupille als Netz aus feinen Fäden bestehen. Bei ausgeprägteren Rückbildungsstörungen findet man Gewebsverbindungen, die von der Iris zur Linse oder von der Iris zur Hornhaut ziehen und dort jeweils Trübungen verursachen. Bei großflächigen Trübungen der Linse oder Hornhaut kann eine starke Sehbehinderung vorliegen.
Persistierende Hyperplastische Tunica Vasculosa Lentis / Primärer Vitreus (PHTVL/PHPV)
Im embryonalen Entwicklungsstadium ist die Linse von einem Blutgefäßnetz (Tunica vasculosa lentis) umgeben, welches sich in der Regel bis zum Zeitpunkt des Öffnens der Augen zurückgebildet hat. In seltenen Fällen findet diese Rückbildung nicht vollständig statt, und es bleiben Gewebereste und teilweise auch Blutgefäßreste auf der Linsenrückfläche bzw. der Linsenkapsel bestehen. Je nach Ausmaß der Rückbildungsstörung bleiben lediglich kleine punktförmige Trübungen zurück, die mit freiem Auge nicht erkennbar sind, oder ausgedehnte Trübungen, die zur Sehbehinderung führen. In ausgeprägten Fällen ist auch die Form der Linse verändert (Lentikonus), die Linse kann Blutreste enthalten und es kann ein Gewebsstrang (primärer hyperplastischer Glaskörper) zwischen der Linsenhinterfläche und dem Sehnervenkopf mit oder ohne blutführendes Gefäß bestehen bleiben.
Katarakt / Grauer Star
Der Graue Star (Katarakt) ist eine krankhafte Veränderung der Augenlinse des Hundes. Die Linse trübt sich, das Auge des Hundes erscheint dadurch grau. Je nachdem, wie stark die Linse getrübt ist, kann der Hund schlechter sehen oder ganz erblinden. Ein Grauer Star kann angeboren sein oder im Alter entstehen. Bei älteren Hunden bildet sich oft eine Katarakt ohne eine andere Grunderkrankung aus (primäre Katarakt). Die sekundäre Katarakt ist auf eine andere Erkrankung des Auges oder eine Erkrankung des gesamten Körpers des Hundes zurückzuführen. Bei einer Trübung vor der 6.-8. Lebenswoche spricht man von einer kongenitalen (angeborenen) Katarakt. Juvenile Trübungen treten nach der 8. Lebenswoche, meist zwischen dem 1. und 5. Lebensjahr auf. Bei älteren Tieren beobachtet man die senile Katarakt, die nicht zu verwechseln ist mit der Nukleusklerose.
Progressive Retinaatrophie (PRA)
Die progressive Retinaatrophie ist ein Überbegriff für eine Gruppe erblicher Netzhauterkrankungen, die auf degenerativen oder dysplastischen Veränderungen der lichtempfindlichen Fotorezeptoren (Stäbchen, Zapfen) in der Netzhaut basieren.
Die Fotorezeptoren sind für das Sehvermögen essentiell: die Stäbchen sind für das Sehen in der Dämmerung bzw. in der Nacht und die Zapfen für das Farbsehen bei Tageslicht verantwortlich. Bei Funktionsverlust der Fotorezeptoren kommt zum Verlust des Sehvermögens bzw. zur Erblindung. Im Verlauf der PRA wird die Netzhaut dünner (man spricht von Atrophie) und die Netzhautgefässe verschwinden. Die PRA tritt immer in beiden Augen auf. PRA beim Hund ist vergleichbar mit der Retinitis pigmentosa des Menschen.
Collieaugen-Anomalie (CEA)
Die Collie Augen Anomalie (CEA) ist eine angeborene Entwicklungsstörung im Bereich der hinteren Bulbuswand (betroffene Schichten: Aderhaut, Netzhaut, Sklera und Sehnervenkopf) in beiden Augen.
Das Hauptmerkmal ist eine lokale Hypoplasie (Fehlentwicklung: mangelhafte/ fehlende Pigmentierung und Gefässmissbildung) der Aderhaut im Bereich seitlich außen des Sehnervenkopfes, die manchmal von Defekten der Netzhaut, der Sklera oder von Kolobomen (Spaltbildung) des Sehnervenkopfes begleitet wird. Die CEA ist erblich, tritt jedoch unabhängig von Fellfarbe, Felltyp oder dem Merle-Gen auf.
Retinadysplasie (RD)
Bei der Netzhautdysplasie handelt es sich um eine abnormale Differenzierung der Netzhaut und somit um eine angeborene Veränderung. Die Dysplasie stellt sich dar in Form von grauen Punkten oder Linien (fokale Dysplasie), als irreguläre Fläche (geografische Dysplasie) oder als Netzhautablösung (komplette Dysplasie). Je nach Ausmaß der Netzhautdysplasie ist das Sehvermögen nicht oder kaum beeinträchtigt (fokale, geografische Dysplasie). Bei der kompletten Dysplasie mit Netzhautablösung ist das betroffene Auge blind. In der Regel bleibt das Ausmaß der Dysplasie unverändert, d. h. eine fokale Dysplasie bleibt fokal.
Primäre Linsenluxation (PLL)
Die Primäre Linsenluxation (PLL) ist eine vererbte Augenerkrankung beim Hund, die durch geschwächte Zonulafasern charakterisiert ist. Dabei handelt es sich um Bänder im Inneren des Auges, welche die Linse in ihrer normalen Position hinter Iris und Pupille halten. Bei einem teilweisen Riss der Zonulabänder verlagert sich die Linse teilweise. Diese Erkrankung ist als Subluxation bekannt. Ein vollständiger Riss der Zonulabänder führt zu einer vollständigen Verlagerung der Linse aus ihrer normalen Position, eine Erkrankung, die als Linsenluxation bekannt ist. Die Linsenluxation kann auch als Folge von Verletzungen oder Tumoren auftreten, PLL stellt dagegen eine Form der Erkrankung dar, die spontan auftritt und nicht von einer früheren Erkrankung oder Verletzung verursacht wird. PLL wird autosomal-rezessiv vererbt.
Hypoplasie Mikropapille
Bei der Hypoplasie des Sehnerven ist der Sehnervenkopf aufgrund einer Unterentwicklung, die Anzahl der Nervenzellen in der Netzhaut und im Sehnerven betreffend, zu klein. Betroffene Tiere sehen sehr schlecht oder sind blind.
Von der echten Hypoplasie ist die Mikropapille zu unterscheiden, bei welcher der Sehnervenkopf aufgrund mangelhafter Myelinisierung zu klein ist, jedoch ist die Anzahl der Nervenzellen und –fasern normal. Solche Tiere haben ein normales Sehvermögen..
Ektropium / Makroplepharon
Das Ektropium zählt zu den Lidfehlstellungen. Dazu rechnet man alle Formen der Augenlider, die zu einem Lidfehlschluss führen, das heißt die Augenlider liegen bei geschlossenem Auge nicht exakt aneinander an. In der Regel ist nur das untere Augenlid von einem Ektropium betroffen. Abhängig von der Ursache können nur ein oder beide Augen des Hundes von einem Ektropium betroffen sein.
Entropium / Trichiasis
Ein Roll-Lid (Entropium) beim Hund entsteht durch ein Missverhältnis der Zugkraft verschiedener Augenlid-Muskeln. Auch im Alter können Hunde durch eine Bindegewebs- und Muskelschwäche der Augenlider an einem Roll-Lid erkranken. Meist ist ein Roll-Lid beim Hund angeboren. Es kann aber auch im Laufe des Lebens erworben werden, zum Beispiel durch Verletzungen, Vernarbungen, Entzündungen oder Augenkrankheiten.
Dystichiasis / Ektopische Zilien
Bei der Distichiasis handelt es sich um zusätzliche! wimpernartige Haare (Distichien), welche aus den Talgdrüsen des Lidrandes heraus in Richtung des Auges wachsen. Bei Hunden und Katzen sind die Lidränder normalerweise unbehaart, glatt und in den meisten Fällen pigmentiert. Die normalen Wimpern des Oberlides beginnen im Bereich der Fellhaare etwa 1-2mm vom Lidrand entfernt. In den Lidrand münden zahlreiche kleine Ausführungsgänge verschiedener Talgdrüsen, welche den Lidrand und den Lidschlag geschmeidig halten und so ein Überlaufen der Tränenflüssigkeit verhindern.
Die fehlgestellten, oft harten Distichien wachsen zumeist aus diesen Drüsenöffnungen. Die Distichiasis kann sowohl am Ober- als auch am Unterlid auftreten und kann beide oder nur ein Auge befallen.
Eine Variation der Distichiasis stellt das Krankheitsbild der „ektopischen Zilien“ dar. Ektopische Zilien sind ebenfalls kleine, zumeist borstige Haare oder auch ganze Haarbüschel die in der Bindehaut versprengt (falsch angelegt) sind. Wenn sie an die Oberfläche treten und in Richtung Auge wachsen führen sie dort zu starken Irritationen und Defekten der Hornhaut.
Korneadystrophe / Hornhautdystrophie
Unter Dystrophie versteht man eine Fehlernährung bzw. Stoffwechselstörung in der Hornhaut, wodurch es zum Verlust der Transparenz kommt. Die Hornhautdystrophie ist erblich und tritt in beiden Augen auf, jedoch nicht immer zeitgleich.Sie ist gekennzeichnet durch lokale weissliche kristalline Ablagerungen (stromale Dystrophie) oder durch eine diffuse weisslich-bläuliche Trübung der gesamten Hornhaut (endotheliale Dystrophie).
Im Gegensatz zur Hornhautdegeneration fehlen meistens Entzündungsreaktionen. Die erbliche stromale Hornhautdystrophie sieht klinisch der Lipidkeratopathie ähnlich
Diese Augenkrankheiten werden bei einem Test durch ECVO lizenzierte Tierärzte untersucht (nach dem Land suchen) |
 |
 |
 |
|
PROGRESSIVE RETINAATROPHIE (PRA-1)
|
|
Der Progressive Retinaatrophie Typ PRA1 der Netzhauterkrankungen wird durch die Mutation des Gens für den Transkriptionsfaktor HIVEP3 verursacht, der sich auf dem Chromosom 15 befindet. Der Effekt der Mutation g.1,432,293G>A v HIVEP3 ist Gewinn einer Funktion, die zur übermäßigen Expression der zwei Zielgenen der Netzhaut, EDN2 und COL9A2, führt und derer Ergebnis eine Degeneration der Netzhautfotorezeptoren ist.
Der Erbgang dieser Mutation ist autosomal rezessiv. Die Krankheit entwickelt sich nur bei Hunden, die das mutierte Allel von beiden Elternteilen vererbt haben (rezessiver Homozygote). Ein Heterozygote ist ein Individuum, das das mutierte Allel nur von einem Elternteil vererbt hat und weist keine Symptome der Krankheit auf und ist klinisch gesund, kann jedoch das mutierte Allel auf seine Nachkommen weitergeben. Wenn zwei heterozygote Hunde verpaart werden, werden theoretisch 25 % der Nachkommen völlig gesund, 50 % der Nachkommen werden Träger des mutierten Allels sein und 25 % der Nachkommen vererben das mutierte Allel von beiden Elternteilen und werden also an PRA1 leiden.
Der genetische Test PRA1 wurde 2020 neu entworfen. Die Genvariante HIVEP3 hat eine volle Penetration und entspricht gut den klinischen Anzeichen und der Studie der Expression. Die Ergebnisse dieses Tests sind als Hilfe bei Auswahl eines Zuchtpaars bestimmt, damit Paarungen, die zur Geburt von mit PRA1 betroffenen Welpen führen würden, vermieden werden.
Der PRA-1 Gentest wird bei Genomia und Laboklin untersucht |
 |
 |
 |
|
MYOTONIA CONGENITA (MC)
|
|
Die kongenitale Myotonie (MC) ist eine erbliche Störung, die durch verzögerte Relaxation der Skelettmuskulatur nach Kontraktionen charakterisiert ist (oder einfacher - durch Störung der Relaxation der Muskelkontraktion, in Folge dessen es zur Muskelsteifheit kommt). Die Erkrankung gehört zu den Kanalopathien, d.h. dass sie durch eine Genmutation verursacht wird, welche den Ionenkanal in der Muskelfaser kodiert. Diese Gene kodieren Proteine, welche die Ionenleitfähigkeit durch deren „Öffnen und Schließen" bestimmen.
Die Myotonia congenita wurde beim Menschen als dominante Thomsen-Krankheit oder rezessive Becker-Krankheit beschrieben.
Die kongenitale Myotonie beim Zwergschnauzer ist durch eine Mutation im Ionenkanal ClC-1 des Skelettmuskels verursacht, und zwar durch Substitution des Threonin im Transmembranensegment D5 durch Methionin (Vite et al., 1998). Die Mutation c.803C?T (p.Thr268Met) im CLCN1-Gen befindet sich in der Nähe der kürzlich identifizierten Poren, die die Segmente im ClC-1 formieren, und eine bedeutende Änderung in der Abhängigkeit der Aktivierung von der Spannung verursacht (Fahlke,1997). Diese Änderung der Abhängigkeit von der Spannung verringert bedeutend die Wahrscheinlichkeit des Kanalöffnens bei der physiologischen Spannung und erklärt die Verminderung der Chloridleitfähigkeit und damit verbundene Reizung der Membranen an der Oberfläche der Muskelfaser.
Durch diese Krankheit betroffene Hunde haben sehr oft einen steifbeinigen Gang, so-genannten Kaninchengang, in einigen Fällen kommt es zu unkontrolliertem Drehen und Stürzen. Bei den betroffenen Hunden sind gegenüber den gesunden Hunden eine Progenie und deformierter Unterkiefer deutlich, die wahrscheinlich durch die Kontraktionen der Kiefermuskel verursacht sind.
Die kongenitale Myotonie beim Zwergschnauzer, die mit mangelnder Permeabilität der Muskelmembran für Chloridione verbunden ist, wurde als autosomal rezessive erbliche Erkrankung diagnostiziert (Vite et al., 1997). Rezessiver Erbgang bedeutet, dass der Abkömmling das mutierte Gen von beiden Elternteilen vererben muss, damit die Krankheit ausbricht. Die Hunde mit einem mutierten Gen (Heterozygoten) sind Träger der Krankheit.
Der MC Gentest wird bei Genomia und Laboklin untersucht |
 |
 |
 |
|
MYCOBACTERIUM AVIUM COMPLEX (MAC)
|
|
Mycobacterium Avium Complex (MAC) kann durch eine angeborene Immunschwäche (Immundefizienz) gegenüber diesen Keimen auftreten. Das heißt, betroffene Hunde sind anfälliger für Infektionen mit diesen Bakterien (genetische Prädisposition), da ihr Körper sich erblich bedingt nicht so gut, gegen diese wehren kann. Außerdem schlagen im Falle einer Infektion Behandlungen (Therapie) nicht so gut an. .
Die MAC-Infektion ist lebensbedrohend. Das Hauptsymptom ist Lymphknotenvergrößerung. Es kommt ebenfalls zu Leber- und Milzvergrößerung. Der betroffene Hund ist lethargisch, leidet unter Erbrechen, Appetitlosigkeit, Schwäche und Fieber. Es können auch Nasenlaufen, Bindehautentzündung, Durchfall, Blut im Stuhl oder Atembeschwerden auftreten. Die Infektion ist nicht heilbar und endet immer tödlich.
Die genetische Störung, die die Anfälligkeit zu der MAC-Infektion verursacht, wurde bei der Rasse Zwergschnauzer entdeckt. Alle betroffenen Hunde haben einen gemeinsamen Vorfahren, der die genetische Quelle der Immunsystemstörung darstellt. Die meisten Fälle wurden in den Vereinigten Staaten von Amerika und in Kanada diagnostiziert und einige Fälle wurden auch in Polen und in anderen Teilen Europas gemeldet. Das Auftreten der Polymorphism Träger wird ungefähr auf 10% in Europa und Nordamerika abgeschätzt.
Die MAC ist eine rezessiv vererbte Krankheit. Die Krankheit entwickelt sich bei Hunden, die das Variantengen von beiden Eltern vererbt haben. Diese Hunde werden als P/P (positiv/positiv) gekennzeichnet. Die Träger des Variantengens, gekennzeichnet als N/P (negativ/positiv), haben das Variantengen nur von einem Elternteil vererbt und sind ohne klinische Anzeichen, sie tragen jedoch diese Krankheit an ihre Nachkommen über. Bei Verpaarung zwei Heterozygozen (N/P) wird theoretisch 25% der Nachkommen gesund, 50% der Nachkommen werden Träger und 25% der Nachkommen vererbt das Variantengen von beiden Eltern und werden also P/P. Durch Verpaarung eines gesunden Hundes (N/N) und eines Trägers dieses Polymorphismus (N/P) werden theoretisch in dem Wurf zu 50% Träger und zu 50% gesunde Welpen sein. Wenn ein Träger (N/P) und ein betroffener Hund (P/P) verpaart werden, so würden theoretisch 50% betroffene Hunde und 50% Träger geboren.
Der MAC Gentest wird bei Genomia und Laboklin untersucht |
 |
 |
 |
|
SPONDYLOCOSTAL DYSOSTOSIS / COMMA DEFEKT (SCD)
|
|
Spondylocostale Dysostose (SCD, Comma Defect) ist eine ernsthafte erbliche Erkrankung, die Veränderungen am axialen Skelett (Wirbelsäule und Brustkorbknochen) beim Zwergschnauzer verursacht. Diese Störung wird durch veränderte Form der Wirbel - es entstehen so-genannte Halbwirbel (keilförmiger Wirbel) - und verschiedene Rippenanomalien (Rippenfusion, fehlende Rippen, Tumorwuchs) charakterisiert. Die Malformation des Brustkorbs und der Wirbelsäule beeinträchtigt die respiratorische Funktion der Lungen und die Funktion des Rückenmarks und infolgedessen werden die Welpen totgeboren oder sterben kurz nach der Geburt. Neben diesen Defekten haben die neugeborenen Welpen abnormal verkürzte Körperlänge, prominente Stirn und Fehlbildungen der Extremitäten. Das Comma Defect betrifft auch Menschen, für welche es jedoch medizinische Behandlung gibt.
Das Comma Defect wird durch eine Deletion-Mutation im HES7-Gen verursacht. Dieses Gen wird durch Notch-Signalweg, der eine entscheidende Rolle in der Entwicklung eines Individuums während der Embryogenese spielt, gesteuert. Der Notch-Signalweg beteiligt sich an der richtigen Bildung von Somiten (primitiven Segmenten), von denen die Wirbel abgeleitet werden.
Die das Comma Defect verursachende Mutation wird autosomal rezessiv vererbt. Die Erkrankung entwickelt sich nur bei Individuen, die das mutierte Gen von beiden Elternteilen vererben. Diese Individuen werden als P/P (positiv/positiv) bezeichnet. Die Träger des mutierten Gens, bezeichnet als N/P (negativ/positiv), haben das mutierte Gen nur von einem Elternteil vererbt und haben keine klinischen Symptome, sie tragen jedoch die Erkrankung auf seine Nachkommen über. Durch genetische Untersuchung wird das mutierte Allel entdeckt und so kann weiterer Ausbreitung dieser Mutation vorgebeugt werden.
Der SCD Gentest wird bei Genomia und Laboklin untersucht |
 |
 |
 |
|
MALIGNANT HYPERTHERMIA (MH)
|
|
Maligne Hyperthermie (MH) ist auch als „Canine Stress Syndrome (CSS)“ bekannt und weist folgende klinische Symptome auf: eine erhöhte Körpertemperatur bis hin zum Fieber, Muskelkrämpfe, sowie Steifheit und Unbeweglichkeit. Einige betroffene Tiere scheinen gesund zu sein, weisen jedoch die genannten Symptome unter Stress auf. Die Verabreichung von Narkotika und Muskelrelaxantien fördern das Auftreten von MH, deshalb sollte unbedingt vor einer medizinischen Behandlung oder Operation auf MH getestet werden, da es zu ernsthaften Komplikationen bei der allgemeinen Narkose kommen kann, die zum Tod führen können. Infolge der Reaktion auf chemische auslösende Substanzen (Trigger) - in diesem Fall sind es Anästhetika - kommt es zur Hyperkapnie, Tachykardie und Hyperthermie kommt. Mit Bezug darauf, dass die Tiere mit MH- Veranlagung ganz ohne klinischen Symptome sind, wenn ihnen keine Triggersubstanzen verabreicht werden, können einige Tiere über die ganze Lebensdauer leben, ohne dass die MH diagnostiziert wird. Im Falle eines betroffenen Hundes ist das Risiko der Übertragung auf die Nachkommen 50%.
Der MH Gentest wird bei Genomia und Laboklin untersucht
|
 |
 |
 |
|
WILLEBRAND DISEASE TYPE-1 (vWD 1)
|
|
Die von Willebrand-Erkrankung ist die häufigste erbliche Blutgerinnungsstörung des Hundes. Sie ist durch ein Fehlen ausreichend funktionellen von Willebrand-Faktors gekennzeichnet, der im Gerinnungsprozess in Zusammenarbeit mit Faktor VIII für die Anheftung der Thrombozyten an die Gefäßwand (Abb. 2) verantwortlich ist. VWD zeigt sich als Neigung zur Haut- und Schleimhautblutungen. Diese Krankheit kann angeboren oder erworben sein.
Bei Hunden - ebenso wie beim Menschen - wurden drei vWD-Typen erkannt. Es wurden insgesamt fünf verschiedene Mutationen, die vWD bei Hunden verursachen, identifiziert. Für alle Mutationen wurden genetische Teste entwickelt. Beim Zwergschnauzer tritt der VWD Typ I auf. Es ist die häufigste und mildeste Form dieser Erkrankung bei Säugetieren. Sie wird autosomal rezessiv vererbt. Das bedeutet, dass sich die Krankheit nur bei Tieren, die die Mutation von beiden Elternteilen vererben, auswirkt. Die Krankheit ist charakteristisch durch niedrigere Konzentration von vWF in Blutplasma, die Struktur des Proteins bleibt unverletzt.
Der vWD-1 Gentest wird bei Genomia untersucht
|
 |
 |
 |
|
FACTOR VII DEFIZIENZ (FVII)
|
|
Diese Blutungsstörung wird durch eine Mutation im F7 Gen ausgelöst und führt zu einer gestörten Blutgerinnung. Diese Störung kann unterschiedliche Schweregrade aufzeigen: manchmal kommt es zu Blutungsstörungen bei schwangeren oder bei Hündinnen die bereits entbunden haben; manche Tiere können aber auch ein intensives und anhaltendes Bluten bei Verletzungen und Operationen aufzeigen. Faktor VII (FVII) ist ein Vitamin K abhängiger Gerrinungsfaktor, das in der Leber synthetisiert wird und in die Blutbahn gelangt. Er spielt eine Schlüsselrolle bei dem Prozess der Blutgerinnung. Der Mangel des Faktors VII neigt zu Blutungen. Klinische Symptome bei betroffenen Hunden sind milde bis schwere Blutungen, die entstehen können als Folge eines Traumas oder Operation.
Der vWD-1 Gentest wird bei Laboklin untersucht
|
 |
 |
 |
|
HYPERURICOSURIA (HUU)
|
Hyperurikosurie ist eine Erkrankung die durch erhöhte Ausscheidung von Harnsäure gezeichnet ist, die zu Kristallbildung im Harn (Harnsteinbildung) bis zur Bildung von Blasensteinen und damit verbundenen Komplikationen führt. Sie zeigt sich in den Nieren der Tiere zeigt. Die Ursache ist eine Mutation im SLC2A9-Gen. Dies führt von Geburt an zu einem veränderten Stoffwechsel. Normalerweise werden Stickstoffverbindungen aus der Nahrung, sogenannte Purine, beim Hund als Allantoin mit dem Harn ausgeschieden. Bei Hunden mit der beschriebenen Genmutation wird jedoch weitaus mehr Harnsäure anstelle von Allantoin im Urin gebildet (Hyperurikosurie oder SLC). Das führt zudem zu 2- bis 4-fach höheren Werten von Harnsäure im Blutplasma (Hyperurikämie). Harnsäure ist weniger gut wasserlöslich als Allantoin und kann, wenn sie in hohen Mengen auftritt, zu Kristallbildung führen. Die Harnsteine müssen den Hunden dann häufig operativ entfernt werden. Ein wichtiger Teil der Therapie bzw. Vorbeugung ist viel Wasser trinken und eine purinarme Ernährung (spezielle Diät).
Der CMT Gentest wird bei Laboklin untersucht |
 |
 |
 |
|
CHARCOT-MARIE-TOOTH NEUROPATHIE (CMT)
|
Polyneuropathien bei Hunden weisen viele Ähnlichkeiten mit der Charcot-Marie-Tooth-Gruppe (CMT) von Krankheiten beim Menschen auf. Charcot-Marie-Tooth ist klinisch durch Muskelschwäche und Sensibilitätsverlust gekennzeichnet. Polyneurooathie bedeuted wörtlich übersetzt "viele Auffälligkeiten des Nervensystems". Bei betroffenen Hunden, die an der Charcot-Marie-Tooth Neuropathie (CMT) leiden, kommt es meist schon im Alter von bis zu 2 Jahren zu einem sogenannten Megaösophagus, der zu häufigem Aufstoßen führt. Aufgrund einer Kehlkopflähmung (Larynxparalyse) kann es zu Atemschwierigkeiten kommen. Meist leben die betroffenen Hunde nach der Diagnose noch über 3 Jahre weiter. Die Ursache für diese Krankheit ist eine Genmutation.
Der CMT Gentest wird bei Laboklin untersucht |
 |
 |
 |
|
PERSISTANT MULLERIAN DUCT SYNDROME (PMDS)
|
Das persistierende Müllergang Syndrom (PMDS) ist eine erblich bedingte Störung der Geschlechtsentwicklung bei Rüden. In der frühen Embryonalentwicklung werden bei allen caninen Föten Vorläufer weiblicher Geschlechtsorgane, wie Gebärmutter, Eileiter und obere Vagina angelegt, die als Müller‘sche Gänge bezeichnet werden. Erst zu einem späteren Entwicklungsstadium beginnt ein männlicher Embryo männliche Hormone zur Geschlechtsentwicklung zu produzieren. Diese sorgen dafür, dass sich die Müller‘schen Gänge zurückbilden und die männlichen Geschlechtsorgane ausgebildet werden. Bei PMDS betroffenen Rüden bilden sich diese weiblichen Fortpflanzungsorgane aber nicht zurück. Etwa die Hälfte der betroffenen Rüden zeigt äußerlich normale Hoden. Diese Hunde sind auch fruchtbar, aber im Inneren sind Reste der weiblichen Fortpflanzungsorgane, einschließlich der Gebärmutter, vorhanden. Die andere Hälfte der betroffenen Rüden zeigt zusätzlich zu den Überresten weiblicher Geschlechtsstrukturen Kryptorchismus. Kryptorchismus kann Rüden zu Unfruchtbarkeit und Hodentumoren prädisponieren. Es kommt auch vor, dass betroffene Rüden kleinere Hoden aufweisen. Sollte es zu einer Infektion des Uterus kommen, kann eine Hysterektomie notwendig werden. Das persistierende Müllergang Syndrom beschränkt sich ausschließlich auf Rüden. Betroffene Hündinnen haben eine normale innere und äußere weibliche Anatomie.
Der PMDS Gentest wird bei Laboklin untersucht |
 |
 |
 |
|
CANINE DEGENERATIVE MYELOPATHY (DM) EXON 2
|
|
Die Canine Degenerative Myelopathie (DM) kann bei älteren Hunden aller Rassen auftreten. Häufig wird die schwere Nervenerkrankung bei den Rassen Deutscher Schäferhund und Berner Sennenhund beschrieben und sollte bei der Zucht berückschtigt werden. Neben diesen Rassen sind aber viele weitere Rassen von der degenerativen Myelopathie betroffen.Ein erkrankter Hund zeigt ab einem Alter von etwa 8 Jahren Veränderung in der Bewegung. Bei einer DM sind die Nervenfasern (oberes Motoneuron) und das Rückenmark verändert. Die Symptome gestörte Muskelbewegungen und unkoordiniertes Laufen (Ataxie) sowie Schwäche bis Lähmung (Parese) zeigen sich zuerst in der Hinterhand und nehmen dann einen fortschreitenden Verlauf. Die Erbrankheit ist vor allem im Rückenmark in der Brustwirbelsäule und Lendenwirbelsäule lokalisiert. Als Risikofaktor für die Entwicklung einer DM wurde eine Variante im Exon 2 des SOD1-Gens bei vielen Rassen nachgewiesen.
WENN KEINE KLINISCHE DISPOSITION BESTEHT, HALTEN WIR DIESEN TEST FÜR UNNÖTIG !!
Der DM-EXON 2 Gentest wird bei Laboklin untersucht |
 |
 |
 |
|
CHONDRODYSPLASIE UND DYSTROPHIE (IVDD)
|
|
Die typisch kurze Beinlänge wird bei diesen Rassen durch die sogenannte Chrondrodysplasie (CDPA), eine Fehbildung des Skeletts, hervorgerufen. Sie kann jedoch auch durch eine andere Erkrankung, die sogenannte Chondrodystrophie (CDDY), eine Unterversorgung der entsprechenden Knochen, entstehen. Das ist die gefährliche Ursache von beiden, denn sie ist mit einem erhöhten Risiko für einen Bandscheibenvorfall verbunden (Hansen´s Type I Intervertebral Disc Disease, IVDD). Ein Gentest kann Klarheit schaffen und den Züchter die kurzbeinigen Hunde mit CDPA statt mit CDDY für die weitere Zucht auswählen lassen. Eine weitere Besonderheit der CDDY ist die semi-dominante Vererbung. Das heißt, dass ein verändertes Chromosom (Träger der Gene) etwas kürzere Beine macht, währenddessen Hunde, die zwei veränderte Chromosomen besitzen sehr kurze Beine haben. Ein durch CDDY veränderstes Chromosom reicht aus, um das Risiko für IVDD signifikant (merklich) zu erhöhen. DIe IVDD wird also autosomal-dominant vererbt und ist zu vermeiden.
WENN KEINE KLINISCHE DISPOSITION BESTEHT, HALTEN WIR DIESEN TEST FÜR UNNÖTIG !!
Der IVDD Gentest wird bei Laboklin untersucht |
 |
 |
 |
|